spine

脊椎擺位

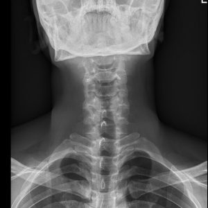
C spine AP view
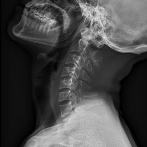
C spine Lat view
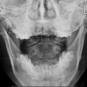
C1 & C2 ( Open Mouth )
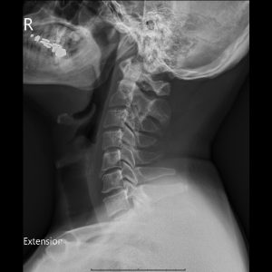
C spine Extension view
C spine Flexion view
C-spine Oblique view(RPO)
C-spine Oblique view(LPO)
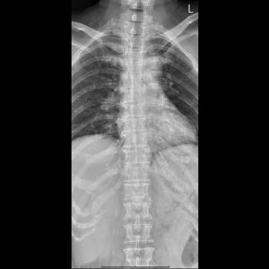
T-spine A-P view
T-spine Lateral view
T-L spine AP view
T-L spine Lateral view
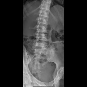
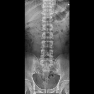
L-spine AP view
L LAT.Seq2.Ser1.Img1
L-spine Lateral view
L-spine Oblique view(RPO)
L-spine Oblique view(LPO)​
L-spine Lat Ext.
L-spine Lat. Flex.
返回頂端